华声在线1月29日讯(通讯员 袁媛)近日,湖南省肿瘤医院腹部放疗科成功运用空间分割放疗新技术,为1例右侧腹腔腹壁多形性脂肪肉瘤患者实施精准治疗,患者病情获得显著控制,为疑难复发大体积肿瘤治疗提供了新的思路和选择。
2025年9月,该院腹部放疗科接诊了一位50多岁的女性患者,诊断为多形性脂肪肉瘤。这是一类高度侵袭性、预后较差的软组织恶性肿瘤。患者曾于2024年5月和12月在外院先后接受两次大手术治疗,但仍于2025年5月复发,且肿瘤进展迅速。由于脂肪肉瘤对化疗敏感性差,患者接受2次化疗后复查CT提示肿块仍持续增大,并伴有明显腰部疼痛。

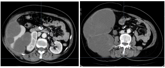
接受治疗前,患者巨大肿块包绕并压迫重要脏器,且紧邻小肠。
治疗前影像检查显示,肿瘤沿右侧腹腔腹壁生长并融合,形成约22×13厘米的巨大肿块,包绕并压迫肝脏、肾脏等重要脏器,且紧邻小肠。由于多形性脂肪肉瘤对化疗及常规放疗均不敏感,患者已无法再次手术切除,后续治疗陷入困境。经骨软组织多学科讨论,团队一致认为可尝试放疗干预。
腹部放疗科主任周菊梅组织全科开展疑难病例讨论。团队认为,常规调强放疗难以在保障小肠、肝脏、肾脏等重要器官安全的前提下给予足够剂量控制肿瘤生长。经充分评估后,决定采用空间分割放疗新技术,续贯大分割精准放疗的治疗方案。放疗综合科倪千喜主任给予大力支持,副主任曾彪正高级工程师和医学物理师黄世雄迅速制定并多轮优化放疗计划,确保治疗的安全性、精准性与有效性。
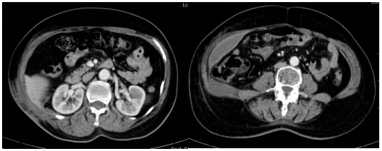
患者先后完成2次空间分割放疗及14次大分割放疗后,腹腔和腹壁肿块逐渐缩小,腰部疼痛完全缓解。放疗结束后3月复查CT显示,原腹腔巨大肿瘤明显消退,仅残留少量低密度软组织影,对肝、肾及小肠的压迫完全解除,腹腔结构及脏器形态基本恢复正常。

经过分割放疗,患者腹腔腹壁肿块逐渐缩小,腰部疼痛完全缓解。
空间分割放疗是一种旨在治疗大体积、难治性肿瘤的先进放射治疗技术。其核心特征在于:在宏观层面,对肿瘤靶区进行物理空间的剂量分割,可以通过多个很高剂量的“峰”值杀死肿瘤细胞,而不增加正常组织损伤;在微观层面,实现肿瘤内部剂量分布的高度异质性。该技术突破了传统均一剂量放疗在大体积肿瘤中的剂量学瓶颈,并引发有益的全身性抗肿瘤免疫反应,形成协同抗肿瘤效应,甚至可能对未照射病灶产生抑制作用。这使其在对放化疗不敏感、肿瘤紧邻重要器官的复杂难治性病例中展现出独特优势。
目前,湖南省肿瘤医院空间分割放疗主要适用于大体积实体肿瘤(通常指最大径超过5厘米,甚至达到10厘米以上的实体肿瘤)、特殊部位肿瘤(如肿瘤紧贴或包裹脊髓、肠道、重要血管及神经丛等)以及需快速缓解压迫症状的患者。通俗来说,空间分割放射治疗,是一种“精准爆破”与“唤醒友军”相结合的聪明策略,专门用来对付那些体积巨大、位置刁钻、让传统放疗“投鼠忌器”的难治性肿瘤。
该技术对放疗团队经验要求很高,需依托先进放疗设备及经验丰富的放疗医生和医学物理师,目前仅在国内外少数大型肿瘤中心开展。
湖南省肿瘤医院腹部放疗科自2024年下半年开展空间分割放疗以来,是全省首个开展该项放疗技术的科室,已在多例复杂肿瘤治疗中取得良好效果。未来,科室将持续深耕肿瘤精准放疗领域,用前沿技术赋能临床实践,为更多疑难复杂肿瘤患者带来新的治疗希望。
责编:庞琦
一审:庞琦
二审:卢小伟
三审:刘乐
来源:华声在线·网站
0731-84329944 /
84329525
0731-84326442
ts@voc.com.cn